Post-traumatic Distal Radius Malunion Case

Case summary

Fracture treated conservatively (February 2022).

One-week follow-up showed loss of height and mild TILD with neutral tilt.

The patient wore a forearm cast for 4 weeks (FEDR). A CT scan of the left wrist was performed, including axial views and coronal/sagittal reconstructions. The scan revealed:

  • Comminuted fracture with impaction of the distal radius and ulnar displacement of the posterior-lateral cortical fragment
  • Non-displaced fracture of the ulnar styloid process
  • Generalized osteopenia
  • No intra-articular loose bodies
  • Subchondral sclerosis with cysts in the distal ulna
  • Scaphotrapezoid degenerative changes with an intraosseous ganglion in the distal scaphoid
  • Mild rhizarthrosis
  • No other significant findings

Due to the complexity of the deformity, a full 3D study was requested, and the EXCELLENCE solution (3D planning + custom cutting guide + patient-specific implant) was selected.

Surgery date: October 7, 2022

Final follow-up: May 17, 2023

  • Full pronation-supination preserved
  • Flexion 55° / Extension 65°
  • No pain


 Preoperative


During surgery


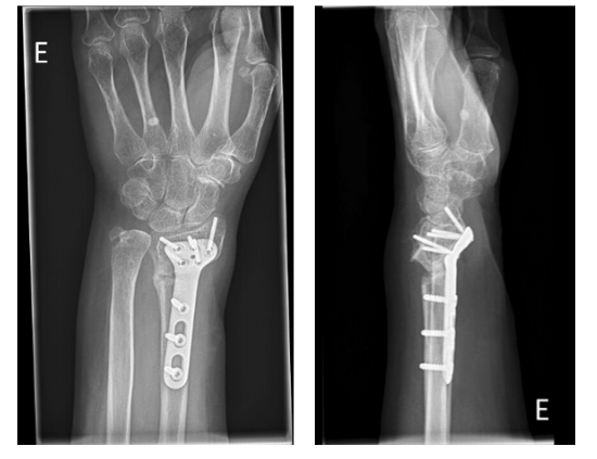
Immediate postoperative


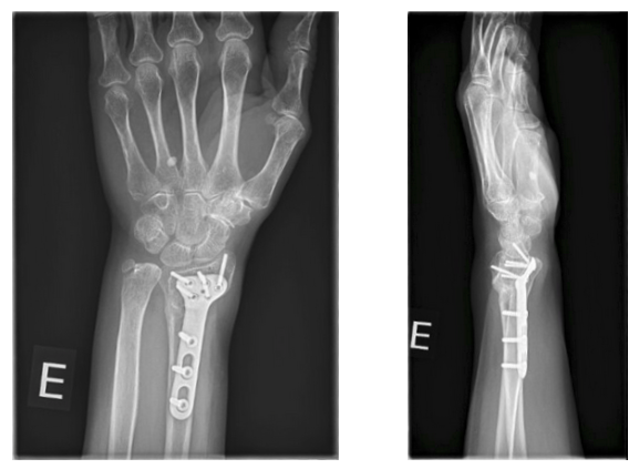
3-month follow-up


6-month follow-up

Share this post